In 2022, Caterham revealed that for her, “family is the most important thing in life, to be able to leave memories with your children and grandchildren.”
Interestingly, Eguavoen is still single, making her advice seem like a personal reflection.
As a woman entangled in a forced or toxic marriage, know that you are faced with two evils—resorting to violence which you will live to regret,...
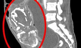
For this woman, the ‘stone baby’ kept compressing the intestine. This caused blockages, meaning her body was no longer able to absorb vital nutrients, leading to...
A woman deserves to be paid for existing and navigating this mean society. Though a professional in their field may decide to quit working, a woman...
I couldn't leave his office. The room was spinning. The singular question that flooded my mind was: Who is the father of these kids at home?...
Are you still engaging in premarital sex? Each act devalues you! Your wonders are waiting to start. God is waiting for you to become a secondary...
A woman’s ability to conceive decreases by about 50 per cent between ages 20 and 40. If you’re in a stable relationship and want a child,...
I have biological sisters who are my best friends. When we’re together, I’m both my best and worst self. I’m supportive and supported, loving and loved....
The term “Gender” is used to describe a set of qualities and behaviors expected of men and women by the society. A person’s social identity is...